Chiudi

Classificazione delle radiografie polmonari con l’intelligenza artificiale: progetto dimasdia-covid19

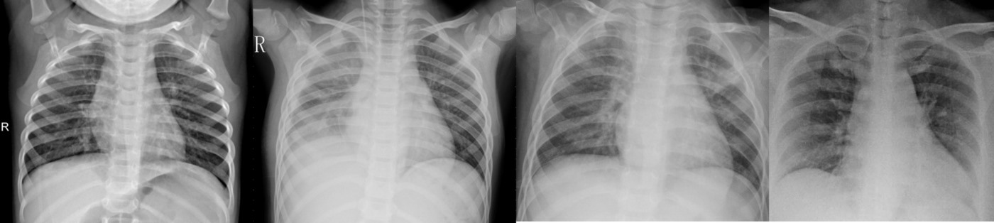
Nel 2020 il CRS4 ha partecipato al progetto DIMASDIA-COVID19. Una delle attività ha riguardato la diagnosi COVID19 per mezzo dell’analisi delle radiografie polmonari. Per mezzo del deep learning (intelligenza artificiale) si sono potute classificare con buona accuratezza le radiografie polmonari, distinguendo tra polmoniti batteriche, polmoniti virali non-covid e polmoniti covid.

La ricerca è stata condotta dal team composto da: Maurizio Agelli, Federico Caredda, Jose Francisco Saenz Cogollo e Felice Colucci.

Ulteriori attività hanno riguardato la classificazione delle acinesie cardiache a partire da sequenze temporali di immagini ecografiche, anche in questo caso si è ottenuta un’accuratezza elevata.

Il sistema è stato sviluppato insieme a Neosperience S.p.A., Mikamai S.r.l., Looptribe srl , in collaborazione con l’Ospedale Sacco di Milano e l’Istituto Auxologico Italiano, , e finanziato dalla Regione Lombardia, dal Fondo Europeo per lo Sviluppo Regionale e dall’Istituto Veronesi.

Ultime notizie
Operatore sanitario scansiona un braccialetto identificativo accanto a provette di campioni biologici in laboratorio
Il CRS4 partecipa alla Giornata Nazionale delle Biobanche 2026
matitine1 (1)
Scienziato di classe: oltre 2.500 bambine e bambini coinvolti finora nell’anno scolastico 2025–2026
Connectathon IHE 2026 a Bruxelles
Il CRS4 conferma il suo impegno per l’interoperabilità tra sistemi clinici al Connectathon IHE 2026 di Bruxelles
Computer su scrivania che mostra grafico consumi pompe di calore
Un nuovo approccio di apprendimento non supervisionato per la stima del fabbisogno energetico delle pompe di calore
Scrivania da ufficio con laptop aperto che visualizza un diagramma del Colorectal Cancer Cohort (BBMRI-ERIC) e una stampa della prima pagina di un articolo scientifico su Scientific Data, con oggetti da lavoro come penna, occhiali e tazza.
Un dataset a grande scala sul cancro colorettale pubblicato su Nature Scientific Data: il contributo del CRS4 all’infrastruttura europea per le biobanche di ricerca e diagnosi